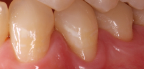
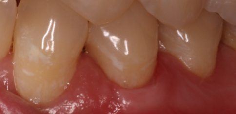
Η υποχώρηση των ούλων ή αλλιώς υφίζηση οδηγεί σε απογύμνωση της ρίζας. Αυτό έχει ως αποτέλεσμα τα δόντια να είναι ευαίσθητα σε ερεθίσματα όπως το κρύο και επίσης να δημιουργείται αισθητικό πρόβλημα για τον ασθενή.
Τι προκαλεί την υποχώρηση των ούλων ή υφίζηση;
- Έντονο βούρτσισμα με σκληρή οδοντόβουρτσα
- Περιοδοντίτιδα
- Piercing στη γλώσσα ή το χείλος που τραυματίζει τα ούλα
- Συνήθειες όπως δάγκωμα νυχιού
- Κακή θέση δοντιού εκτός οστικού πετάλου
- Μετακίνηση δοντιού
Εάν ξεκινήσει μια υφίζηση, αποτελεί μια ευάλωτη περιοχή που μπορεί εύκολα να χειροτερέψει. Επιπλέον, η εφαρμογή σωστού βουρτσίσματος είναι αρκετές φορές δύσκολη και επώδυνη.
Η άρση της αιτίας που προκάλεσε το πρόβλημα είναι το πρώτο βήμα. Η εφαρμογή πλαστικής χειρουργικής του περιοδοντίου (ουλικό μόσχευμα) με σκοπό τη δημιουργία καλής ποιότητας ιστού στην μπροστινή επιφάνεια του δοντιού και την κάλυψη της απογυμνωμένης ρίζας εφαρμόζεται για την αντιμετώπιση της υφίζησης και της ευαισθησίας που νιώθει ο ασθενής σε θερμικά ερεθίσματα.
