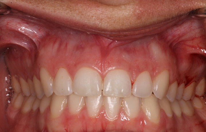
Σε κάποιους ανθρώπους τα δόντια φαίνονται μικρά επειδή μέρος της αδαμαντίνης (σμάλτο) του δοντιού καλύπτεται από ούλα. Επιπλέον, ενδέχεται όταν χαμογελούν να αποκαλύπτεται ένα μεγάλο μέρος των ούλων γεγονός που μπορεί να ενοχλεί τον ασθενή αισθητικά και να τον εμποδίζει να χαμογελάσει απρόσκοπτα.
Η λύση που προσφέρουμε σε αυτό το πρόβλημα ονομάζεται αισθητική αποκάλυψη κλινικής μύλης και μπορεί να περιλαμβάνει ένα ή περισσότερα δόντια.
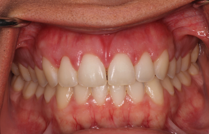
Η αποκάλυψη της κλινικής μύλης πραγματοποιείται επίσης σε περιπτώσεις που ένα δόντι είναι τερηδονισμένο ή σπασμένο κάτω από το όριο των ούλων και δεν υπάρχει επαρκής οδοντική ουσία για ένα σφράγισμα ή μια θήκη. Με την επιμήκυνση μύλης γίνεται προσαρμογή των ούλων και του οστού ώστε το δόντι να μπορέσει να αποκατασταθεί.

